Juli 2022
Wir planen unseren B-Wurf.
Ein toller Rüde ist gefunden und die Zuchtabsichtserklärung bereits genehmigt.
Jetzt warten wir gespannt, wann Aslana läufig wird.

September 2022
Aslana ist (endlich) läufig ;o)
Sie und Buddy vom Flöz Sonnenschein treffen sich das erste Mal und sind gleich ziemlich verliebt.

An den nächsten beiden Tagen haben sie Hundehochzeit gefeiert.

1. Woche nach der Hundehochzeit
Aslana ist völlig unverändert, die Läufigkeit klingt ab.
2. Woche nach der Hundehochzeit
Aslana ist etwas ruhiger und schläft mehr, sie ist richtig "trutschig".

3. Woche nach der Hundehochzeit
Aslana scheint vom Becken her breiter zu werden. Ihr Gewicht hat sich nicht verändert, aber ihr Taillenumfang ist um 2 cm größer geworden.
Sie ist nach wie vor sehr ruhig und beobachtet alles von ihren Plätzen - auch vom Sessel ;o) aus. Es bleibt spannend - ist sie nun trächtig? In ein paar Tagen kommt die Ultraschall-Untersuchung...
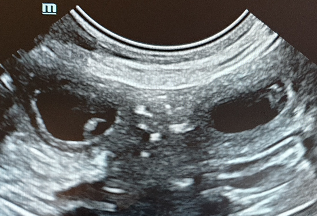
Aslana spielt wieder gerne, frisst aber immer noch sehr mäkelig. Ihr Gewicht ist ebenfalls unverändert. Und nun ist auch der Ultraschall dran:
Aslana ist wieder trächtig! Gezählt habe ich 6-7 Welpen, das lässt sich aber im Ultraschall nicht genau sagen, weil man nicht alle Welpen auf ein Bild bekommt. Wir freuen uns auf die kommenden Wochen :o).
4. Trächtigkeitswoche
Aslana ist morgens übel, an zwei Tagen hat sie sich auch übergeben. Aber jetzt frisst sie wieder mit großem Appetit. Ihr Bauch wächst sichtbar.
5. Trächtigkeitswoche
Aslana ist wieder gut drauf, sie frisst sehr gut und möchte gerne spielen. Ihr Bauch scheint jeden Tag dicker zu werden und sie nimmt gut zu.
6. Trächtigkeitswoche
Wir haben das Gefühl, dass wir Aslanas Bauch beim Wachsen zusehen können ;o). Sie hat nun fast 2 kg zugenommen und scheint ständig Hunger zu haben. Spazieren geht sie noch gern, nur bergauf muss nicht sein. Abends genießt sie es, mit uns auf der Couch zu kuscheln.
7. Trächtigkeitswoche (geschafft)
Aslana geht es gut, sie hat jetzt gute 3 kg zugenommen. Ihr Appetit ist riesengroß und der Bauch sehr rund. Jetzt nähern wir uns der Zielgeraden. In den kommenden Tagen stellen wir die Wurfkiste auf und bereiten alles vor, was wir für die Geburt und die Welpen brauchen.
8. Trächtigkeitswoche (geschafft)
Aslana geht es gut, ihr Bauch wird immer noch runder und sie hat permanent Hunger. Wir können jetzt auch Welpenbewegungen spüren - da geht ganz schön die Post ab :o). Sie hat nochmal rund 500g zugenommen.
9. Trächtigkeitswoche
Es ist alles vorbereitet. Für Aslana wird es jetzt auch wirklich schwer. Wir laufen nur noch Mini-Strecken auf ebenen Wegen. Wann ist es soweit?
9. Trächtigkeitswoche - Tag 63
Aslana wird immer unruhiger. Ihre Temperatur sinkt abends auf 36,8. In der Nacht wühlt sie immer wieder Decken um, hechelt viel und kommt kaum zur Ruhe. Diesmal findet sie auch am Tag keine Ruhe. Sie hechelt und zittert fast ununterbrochen. Wir hoffen, dass die Geburt nun endlich losgeht. Dann gegen 21:40 Uhr endlich die erste richtige Wehe. Aber es dauert diesmal sehr lang, eine Stunde vergeht und noch immer kein Welpe in Sicht. So langsam machen wir uns Sorgen, bei der ersten Geburt ging das alles viel schneller (und leichter). Ich taste das Becken ab, noch kein Welpe im Geburtskanal. Wir beten, ich verändere die Lage von Aslana, hebe ihr Becken an, versuche den Welpen durch die Bauchdecke zu ertasten und die Lage zu verändern und wir beten weiter. Und dann endlich fühle ich den Welpen im Becken! Mir kommen 3 Beinchen entgegen, irgendwie liegt er schief. Aber er kommt weiter voran und ich bekomme die Beinchen zu greifen, ganz vorsichtig mit jeder Wehe kann ich ihn ein Stückchen weiter rausziehen... und endlich um 23:35 Uhr wird unser erster Rüde geboren. Ein properes munteres Kerlchen :o). Wir sind alle sehr erleichtert, das war diesmal nicht einfach...
Danach läuft es prima, die nächsten vier Welpen sind Rüden, dann kommen noch 4 Mädels hinterher - puh. Das letzte Mädchen wird um 04:05 Uhr morgens geboren.
Das war eine lange und anstrengende Nacht, aber wir sind Gott so dankbar, dass wir wieder einen tollen Wurf gesunder, munterer Welpen haben dürfen! Und dass Aslana das wieder so wunderbar gemeistert hat.
alles weitere nun unter B-Wurf ;o)






































 Dies ist eine mit page4 erstellte kostenlose Webseite. Gestalte deine Eigene auf www.page4.com
Dies ist eine mit page4 erstellte kostenlose Webseite. Gestalte deine Eigene auf www.page4.com